์•„์ดํ• ํด๋ฆฌ๋‹‰ ๋ชจ๋ธ

๋น„์ˆ˜์ˆ  ๋ˆˆ๋งค๊ต์ • ์•„์ดํ•

ํ”ผ๊ณคํ•ด ๋ณด์ธ๋‹ค๋Š” ๋ง์„
์ž์ฃผ ๋“ฃ๋‚˜์š”?

์ˆ˜์ˆ  ์—†์ด ๊ต์ •ํ•˜์„ธ์š”

๋ˆˆ ๋ฐ‘์ด ๊บผ์ง€๊ณ  ๋ˆˆ๋งค๊ฐ€ ์ฒ˜์ง„ ๋А๋‚Œ์ด ๋“œ๋‚˜์š”? ์–‘์ชฝ ๋ˆˆ ํฌ๊ธฐ๋‚˜ ๋†’์ด๊ฐ€ ๋‹ฌ๋ผ ๊ณ ๋ฏผ์ด์‹ ๊ฐ€์š”?
์•ˆ๊ฒ€ํ•˜์ˆ˜, ์ด์ œ ์ˆ˜์ˆ  ์—†์ด ๊ต์ •ํ•˜๊ณ  ์‹ถ์œผ์‹ ๊ฐ€์š”?
์•„์ดํ•์€ ๋ง‘๊ณ  ๋˜๋ ทํ•œ ๋ˆˆ๋งค๋ฅผ ๊ฐ€์ ธ๋‹ค๋“œ๋ฆฝ๋‹ˆ๋‹ค.

ํ”ผ๊ณคํ•ด ๋ณด์ด๋Š” ๋ˆˆ๋งค ๊ณ ๋ฏผ
์•„์ดํ• ์ถ”์ฒœ ๋Œ€์ƒ

์ถ”์ฒœ ๋Œ€์ƒ

์ด๋Ÿฐ ๋ถ„๋“ค์—๊ฒŒ
์•„์ดํ•์„ ์ถ”์ฒœ๋“œ๋ฆฝ๋‹ˆ๋‹ค

โœ”
์•ˆ๊ฒ€ํ•˜์ˆ˜๋กœ ๋ˆˆ์ด ์ž๊พธ ์•„๋ž˜๋กœ ์ฒ˜์ง€๋Š” ๋ถ„
โœ”
๋‚˜์ด๊ฐ€ ๋“ค๋ฉด์„œ ๋ˆˆ์ด ์ž‘์•„์ง€๋Š” ๋ถ„
โœ”
๋ˆˆ๊ผฌ๋ฆฌ๊ฐ€ ์ฒ˜์ ธ์„œ ์‹ ๊ฒฝ ์“ฐ์ด๋Š” ๋ถ„
โœ”
๋ˆˆ ๋ฐ‘ ๊บผ์ง๊ณผ ๋‹คํฌ์„œํด์ด ์‹ ๊ฒฝ ์“ฐ์ด๋Š” ๋ถ„
โœ”
ํ”ผ๊ณคํ•˜๋ฉด ๋ˆˆ ๋œจ๊ธฐ ํž˜๋“ค์–ด ๋ˆˆ๊ณผ ์ด๋งˆ์— ํž˜์ด ๋“ค์–ด๊ฐ€๋Š” ๋ถ„
โœ”
๋˜๋ ทํ•œ ๋ˆˆ์„ ์›ํ•˜์ง€๋งŒ ์ˆ˜์ˆ ์€ ๋ฌด์„œ์šด ๋ถ„
โœ”
์ด๋งˆ์— ์ง€๋ฐฉ์ด์‹, ํ•„๋Ÿฌ ์‹œ์ˆ ํ›„ ๋ˆˆ๋ชจ์–‘์ด ๋ฌด๋„ˆ์ง€๋Š” ๋ถ„

์ด๋Ÿฐ ๋ถ„๋“คํ•œํ…Œ ์•„์ดํ• ์•ˆ๊ฒ€ํ•˜์ˆ˜ ๊ต์ • ์ถ”์ฒœ๋“œ๋ ค์š”!

์ปจ๋””์…˜์— ์˜ํ–ฅ์„ ๋ฐ›์•„ ๊ฐ„ํ—์ ์œผ๋กœ ์ฆ์ƒ์ด ๋‚˜ํƒ€๋‚œ๋‹ค.
๊ฒ€์‚ฌ์ƒ ๊ตฌ์กฐ์  ๋ฌธ์ œ๋Š” ์—†๋‹ค. (MRI, ๊ทผ์ „๋„ ๊ฒ€์‚ฌ์ƒ ์ด์ƒ ์†Œ๊ฒฌ ์—†์Œ)
์ด๋งˆ ๊ทผ์œก์— ์ž๊พธ ํž˜์ด ๋“ค์–ด๊ฐ€์„œ ์ด๋งˆ ์ฃผ๋ฆ„์ด ์ƒ๊ธฐ๊ณ  ๋‘ํ†ต์ด ์ƒ๊ธด๋‹ค.
ํ•œ์ชฝ ๋ˆˆ์— ์ฆ์ƒ์ด ์‹ฌํ•˜๊ณ  ์•ˆ๋ฉด๋น„๋Œ€์นญ์ด ์žˆ๋‹ค.
์ž์œจ ์‹ ๊ฒฝ ๋ถˆ๊ท ํ˜•์ด๋‚˜ ์ •์‹ ์  ํ”ผ๋กœ๊ฐ€ ๋™๋ฐ˜๋œ๋‹ค.

STEP BY STEP

์–ผํ• ์•„์ดํ• ์น˜๋ฃŒ๊ณผ์ •

์•„์ด๋งค์„  ์‹œ์ˆ 
Step. 1

์–ผํ•ํ•œ์˜์›์˜ ์•„์ด๋งค์„ 

ํ”ผ๋ถ€ ์ฒ˜์ง์ด ์‹ฌํ•ด ์ด๋งˆ ๊ทผ์œก์„ ๊ณผ๋„ํ•˜๊ฒŒ ์‚ฌ์šฉํ•˜๊ฑฐ๋‚˜ ๋ˆˆ๊ผฌ๋ฆฌ ์ฒ˜์ง์ด ์‹ฌํ•  ๋•Œ, ๊ฐ€์‹œ๋งค์„ ์œผ๋กœ ๋Œ์–ด์˜ฌ๋ ค์ฃผ๊ณ  ๋ˆˆ ์ฃผ๋ณ€ ํ”ผ๋ถ€ ์ฝœ๋ผ๊ฒ ์ƒ์„ฑ์„ ์ž๊ทนํ•ด์„œ ๋ ˆ์ด์ € ํšจ๊ณผ ์œ ์ง€ ๊ธฐ๊ฐ„์„ ๋Š˜๋ ค์ค๋‹ˆ๋‹ค.

์ถ”๋‚˜์น˜๋ฃŒ
Step. 2

์–ผํ•ํ•œ์˜์›์˜ ์ถ”๋‚˜์น˜๋ฃŒ

์•ˆ๋ฉด๋น„๋Œ€์นญ์œผ๋กœ ๋ฐœ์ƒํ•œ ๋ˆˆ๋น„๋Œ€์นญ์„ ์™„ํ™”ํ•˜๊ณ , ์ƒ์•ˆ๊ฒ€๊ฑฐ๊ทผ, ๋ฎ๋Ÿฌ๊ทผ ์•ฝํ™”๋ฅผ ๋งŒ๋“œ๋Š” ๋™์•ˆ์‹ ๊ฒฝ, ์ž์œจ์‹ ๊ฒฝ์˜ ํฌ์ฐฉ์„ ํ•ด์†Œํ•˜๊ณ  ๊ตณ์€ ๋ชจ์ƒ๊ฑด๋ง‰๊ณผ ํ›„๋‘ํ•˜๊ทผ์„ ํ’€์–ด์ค๋‹ˆ๋‹ค.

์•„์ด์•ฝ์นจ
Step. 3

์–ผํ•ํ•œ์˜์›์˜ ์•„์ด์•ฝ์นจ

์ƒ์ฒด ์นœํ™”์„ฑ ์•ฝ์นจ์„ ์ด์šฉํ•ด ๊บผ์ง„ ๋ˆˆ ๋ฐ‘๊ณผ ๊ด€์ž ๋ถ€์œ„๋ฅผ ์ฑ„์›Œ์„œ ๋‹คํฌ์„œํด์„ ์ œ๊ฑฐํ•ฉ๋‹ˆ๋‹ค.

์•„์ดํ• ๋ ˆ์ด์ €
Step. 4

์–ผํ•ํ•œ์˜์›์˜ ์•„์ดํ• ๋ ˆ์ด์ €

RF๊ณ ์ฃผํŒŒ ์—ด์ž๊ทน์œผ๋กœ ๋ˆˆ๊บผํ’€์„ ๋Œ์–ด์˜ฌ๋ฆฌ๋Š” ์ƒ์•ˆ๊ฒ€๊ฑฐ๊ทผ๊ณผ ๋ˆˆ๊ฐ๊ธฐ ๊ทผ์œก ์•ˆ๋ฅœ๊ทผ์˜ ๊ทผ๋ง‰์„ ์ž๊ทนํ•ด ๋˜๋ ทํ•œ ๋ˆˆ์„ ๋งŒ๋“ค์–ด์ค๋‹ˆ๋‹ค.

์–ผํ•ํ•œ์˜์› ์•„์ดํ•์˜ ๊ฒฐ๊ณผ

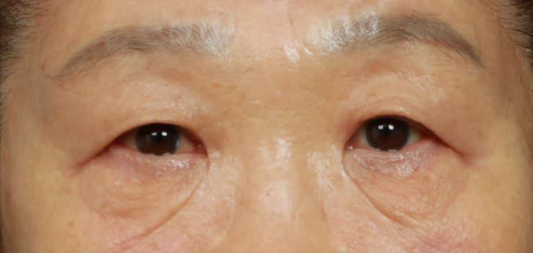
์‹œ์ˆ  ์ „
Before
์‹œ์ˆ  ํ›„
After
์‹œ์ˆ  ์ „
Before
์‹œ์ˆ  ํ›„
After
์‹œ์ˆ  ์ „
Before
์‹œ์ˆ  ํ›„
After

์ด์ œ ์ˆ˜์ˆ ๋ง๊ณ  ์‹œ์ˆ ํ•˜์„ธ์š”

๋˜๋ ทํ•œ ๋ˆˆ๋งค ๋ชจ๋ธ

๋˜๋ ทํ•˜๊ณ  ๋ง‘์€ ๋ˆˆ๋งค๋Š” ํ•˜๋ฃจ๋ฅผ
๊ฑด๊ฐ•ํ•˜๊ฒŒ ๋งŒ๋“ค์–ด์ฃผ๋Š” ๊ธฐ๋ณธ์š”์†Œ์ž…๋‹ˆ๋‹ค.

NAVER Kakao AI